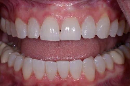
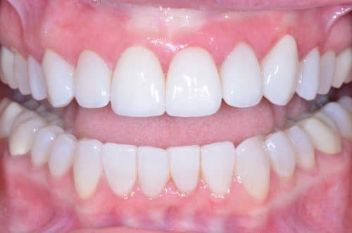
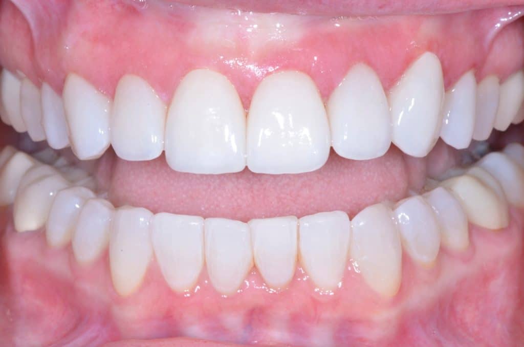
Teri
Teri wanted a more youthful smile. She had worn chipped edges. We carefully designed her smile digitally making sure we restored the smile of her youth. We tried it in so she could have a preview, then she settled on 10 hand crafted porcelain veneers.


