Regina
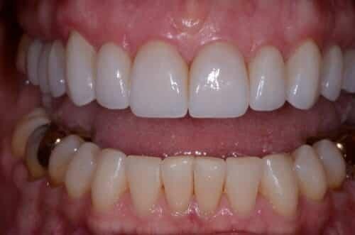
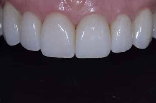
Regina had 8 veneers placed about 20 years ago. They had started to fracture, and looked old and bulky. Her old veneers hid rotated teeth. We first used Invisalign to place the teeth in a better position before placing 10 new veneers. The result is a natural healthy looking smile. Which is what she asked for.
Call Cherrywood Dental Care
(952) 440-9303
Bring your smile, but also remember to bring these with you to your first appointment:
- Your completed patient information form
- Your insurance card (if you have one)
- Any current x-rays from a previous office


