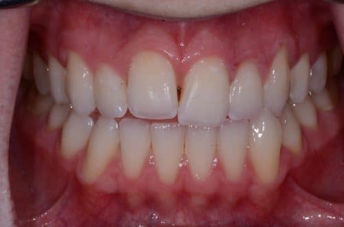
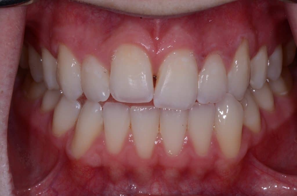
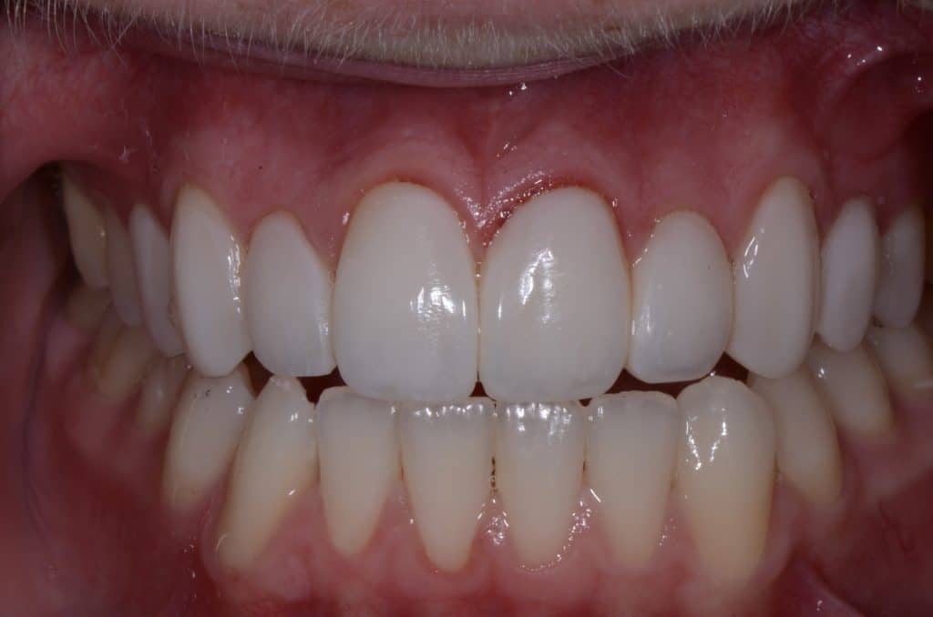
Danny

Danny didn’t want to have braces. He also did not want his teeth ground on. We placed 8 composite veneers to correct his midline and balance his smile.

Visiting Us

Our practice is committed to providing you and your family safe, gentle, extraordinary dental care. We understand that you may feel anxious about visiting the dentist. We are sensitive to your needs, and it is our goal to make you feel comfortable visiting our practice while providing you the best care possible. At Cherrywood dental care we take the time to determine your individual needs. Any care we recommend is based on your personal situation.

Your first visit will be with a doctor. It is our goal at this visit to understand your expectations, and to know what experiences you have had that may influence your care. We know that often people have dental stories. These stories effect how and when patients seek care. By understanding your circumstances we hope to better serve you. We also want to have time to answer your questions. By seeing a doctor first, we are better able to offer thorough care in an environment that is not rushed.

Call Cherrywood Dental Care

(952) 440-9303

Your comfort, your happiness, and your health.

During your first visit with the doctor, after getting to know you, we will assess your dental situation. We may take some dental x -rays to help us in diagnosing any problems you’re having. We will also perform an oral cancer screening, check your gums, and evaluate your jaw joint. After having a chance to look at you, the doctor will review what she sees, and make any recommendations for you to consider. It is at this time we will also determine what dental cleaning is best suited for you.

Bring your smile, but also remember to bring these with you to your first appointment:

  • Your completed patient information form
  • Your insurance card (if you have one)
  • Any current x-rays from a previous office

Regular checkups are an important part of maintaining a healthy smile!

Many people have their teeth cleaned every six months, but this is not for everyone. Often people are healthier if they come three or four times a year. This will be determined after we know what is best based on your particular situation. On occasion we recommend other services to help maintain your health. This could be adding a localized antibiotic to troubled areas. Or recommending a fluoride varnish if you are prone to cavities. After getting to know your level of health, we will suggest ways to help you maintain your teeth for life.

Your dental cleaning will be approximately 60-90 minutes.